Sumber: Reuters | Editor: Barratut Taqiyyah Rafie
KONTAN.CO.ID - LONDON. Organisasi Kesehatan Dunia (WHO) tidak meyakini wabah cacar monyet di luar Afrika akan menyebabkan pandemi. Hal tersebut diungkapkan oleh seorang pejabat WHO pada Senin (30/5/2022). Dia menambahkan, masih belum jelas apakah orang yang terinfeksi yang tidak menunjukkan gejala dapat menularkan penyakit tersebut.
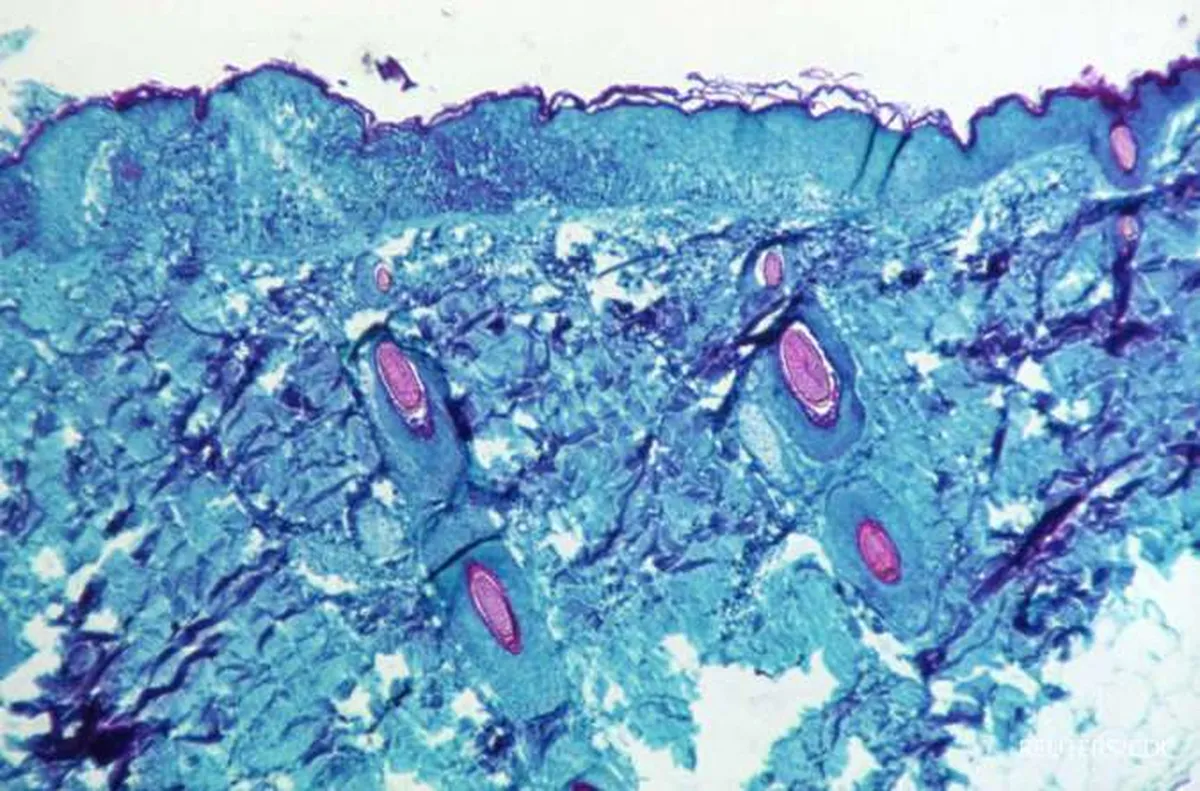
Melansir Reuters, lebih dari 300 kasus yang dicurigai dan dikonfirmasi dari cacar monyet atau monkeypox di seluruh dunia. Penyakit yang biasanya ringan dan menyebar melalui kontak dekat yang menyebabkan gejala seperti flu dan ruam yang khas ini, telah dilaporkan pada bulan Mei, dan sebagian besar menyebar di Eropa.
WHO sedang mempertimbangkan apakah wabah tersebut bisa berpotensi menyebabkan kondisi darurat kesehatan masyarakat yang menjadi perhatian internasional atau PHEIC.
Deklarasi seperti itu, seperti yang dilakukan untuk Covid-19 dan Ebola, akan membantu mempercepat penelitian dan pendanaan untuk mengatasi penyakit tersebut.
Ditanya apakah wabah cacar monyet ini berpotensi berkembang menjadi pandemi, Dr Rosamund Lewis, pimpinan teknis cacar monyet dari Program Darurat Kesehatan WHO mengatakan: "Kami tidak tahu tetapi kami tidak berpikir begitu."
Baca Juga: Waspada Penyakit Cacar Monyet, Ini Penyebab, Gejala dan Cara Mencegahnya
"Saat ini, kami tidak khawatir dengan pandemi global," tambahnya.
Strain virus yang terlibat dalam wabah dipahami membunuh sebagian kecil dari mereka yang terinfeksi, tetapi sejauh ini tidak ada kematian yang dilaporkan.
Sebagian besar kasus muncul di Eropa daripada di negara-negara Afrika Tengah dan Barat di mana virus itu endemik, dan sebagian besar tidak terkait dengan perjalanan.
Oleh karena itu, para ilmuwan sedang mencari apa yang mungkin menjelaskan peningkatan kasus yang tidak biasa ini, sementara otoritas kesehatan masyarakat menduga ada beberapa tingkat penularan di masyarakat.
Baca Juga: 5 Kategori Penderita Kasus Cacar Monyet Beserta Gejalanya
Beberapa negara telah mulai menawarkan vaksin untuk menutup kontak dari kasus yang dikonfirmasi.


 










